(561) 624-5307
1216 US Highway One, Suite B, North Palm Beach, FL 33408
Our Office
1216 US Highway One
Suite B
North Palm Beach
,
FL
33408
(561) 624-5307
Office Hours
Monday
8:00 am - 5:00 pm
Tuesday
8:00 am - 5:00 pm
Wednesday
8:00 am - 5:00 pm
Thursday
8:00 am - 5:00 pm
Friday
Closed
Saturday
Closed
Visit Us Online
About Us
Our Office
Our Doctor
Our Team
New Patients
Our Community
Photo Gallery
Testimonials
Periodontal Disease
Causes of Periodontal Disease
Types of Periodontal Disease
Treatment of Periodontal Disease
Treatment of Gum Recession
Procedures
Initial Periodontal Exam
Scaling and Root Planing
Sinus Augmentation
Pocket Elimination Osseous Surgery
Crown Lengthening
Soft Tissue Grafts
Bone Grafting
Guided Bone Regeneration
Ridge Preservation
Canine Exposure
Frenectomy
LANAP®
Dental Implants
Overview
Single Tooth Implant
Multiple Teeth Implants
New Patient Forms
Contact
Request Appointment
Address:
1216 US Highway One, Suite B, North Palm Beach, FL 33408
Phone:
(561) 624-5307
Social:
Request Appointment
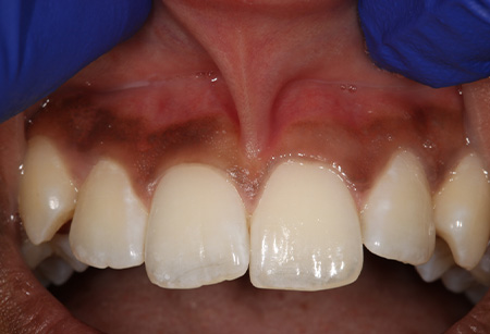
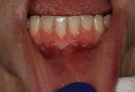
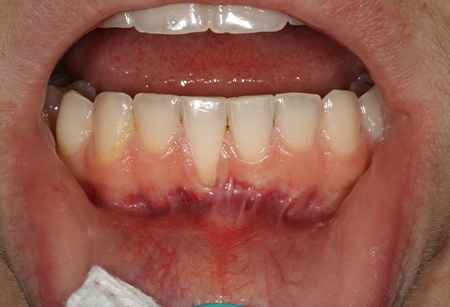
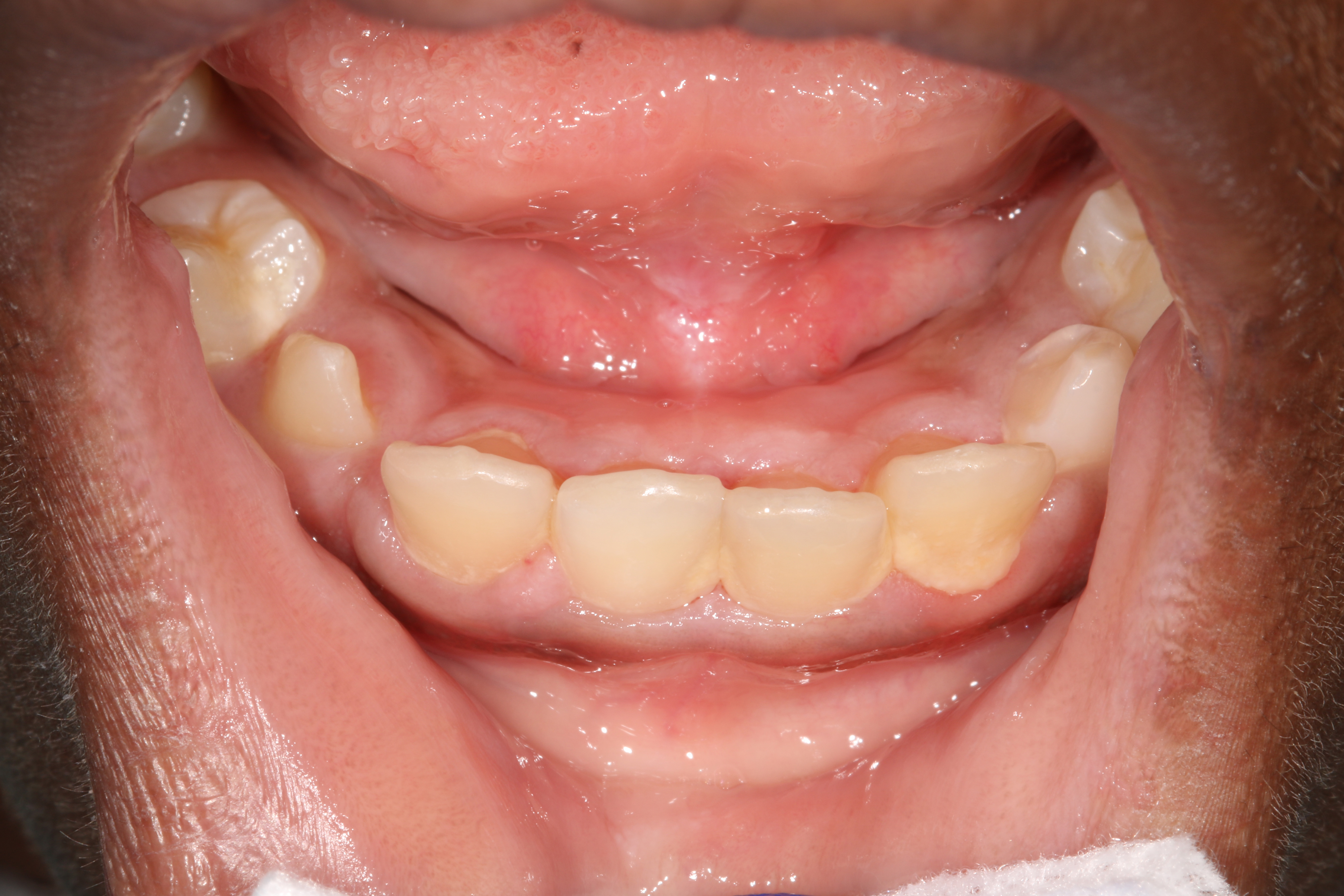
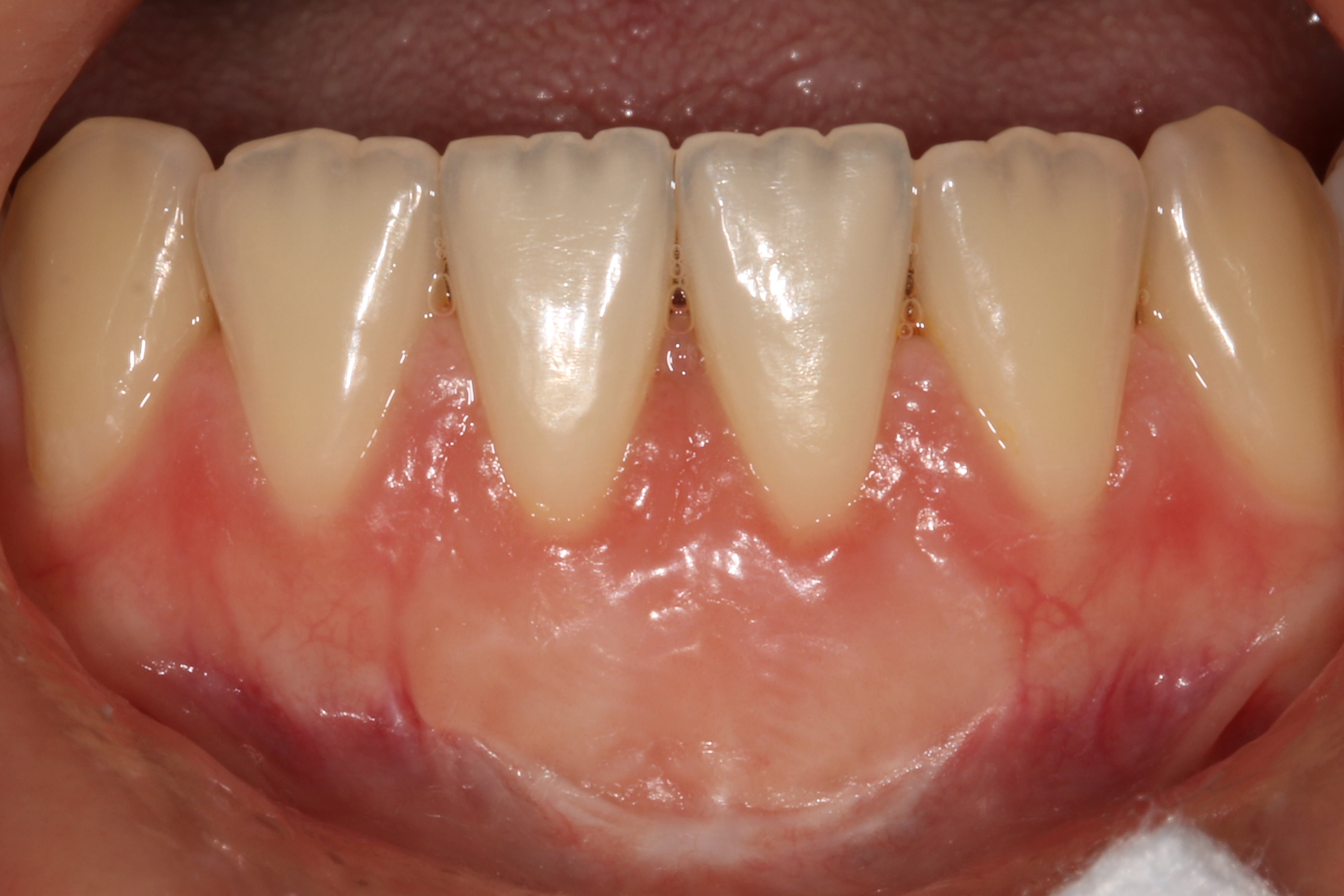
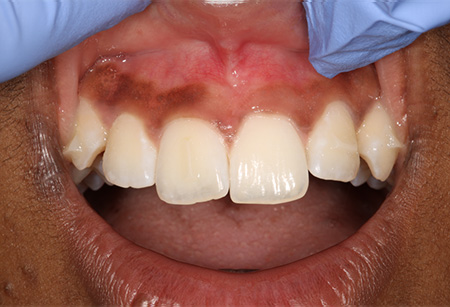
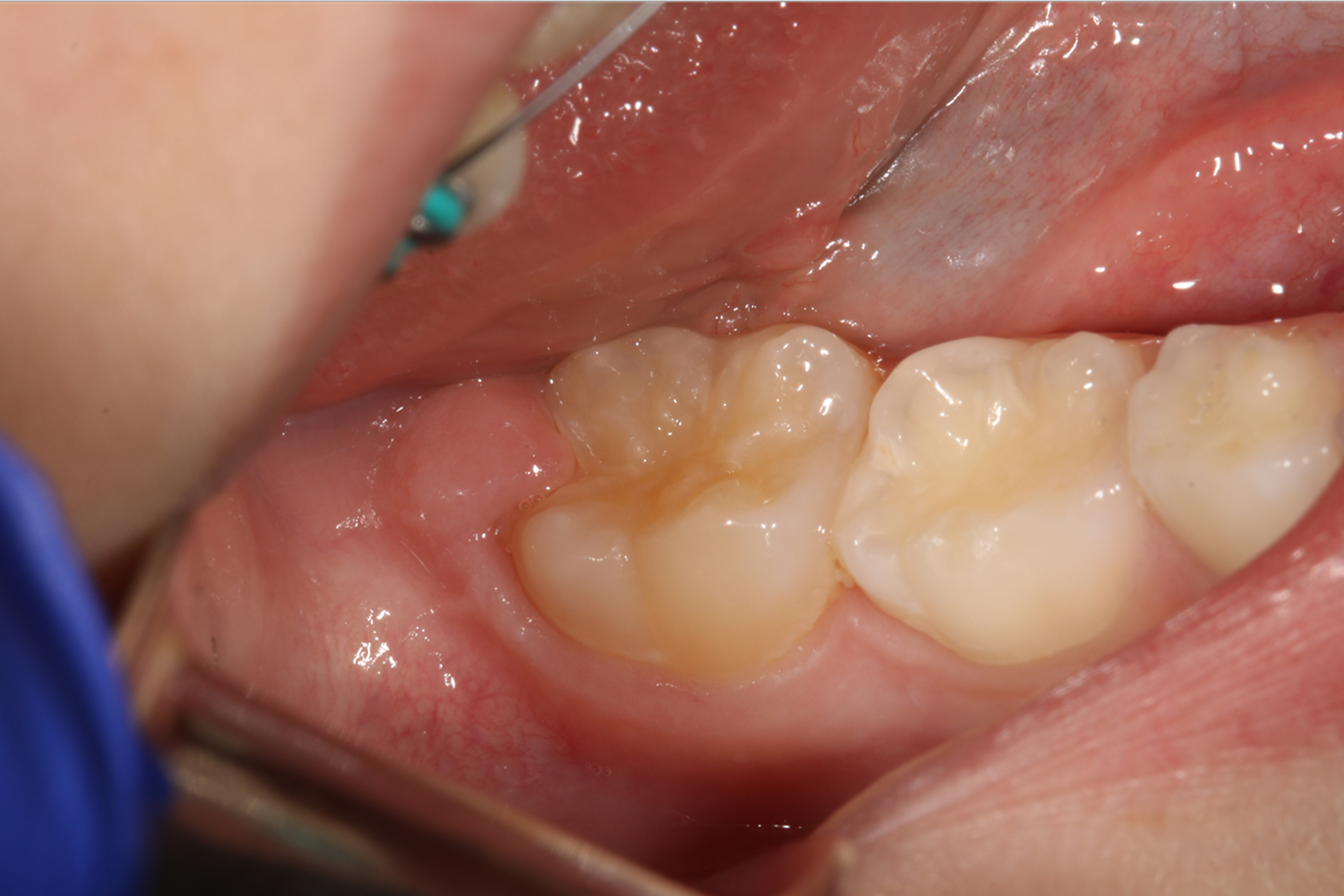
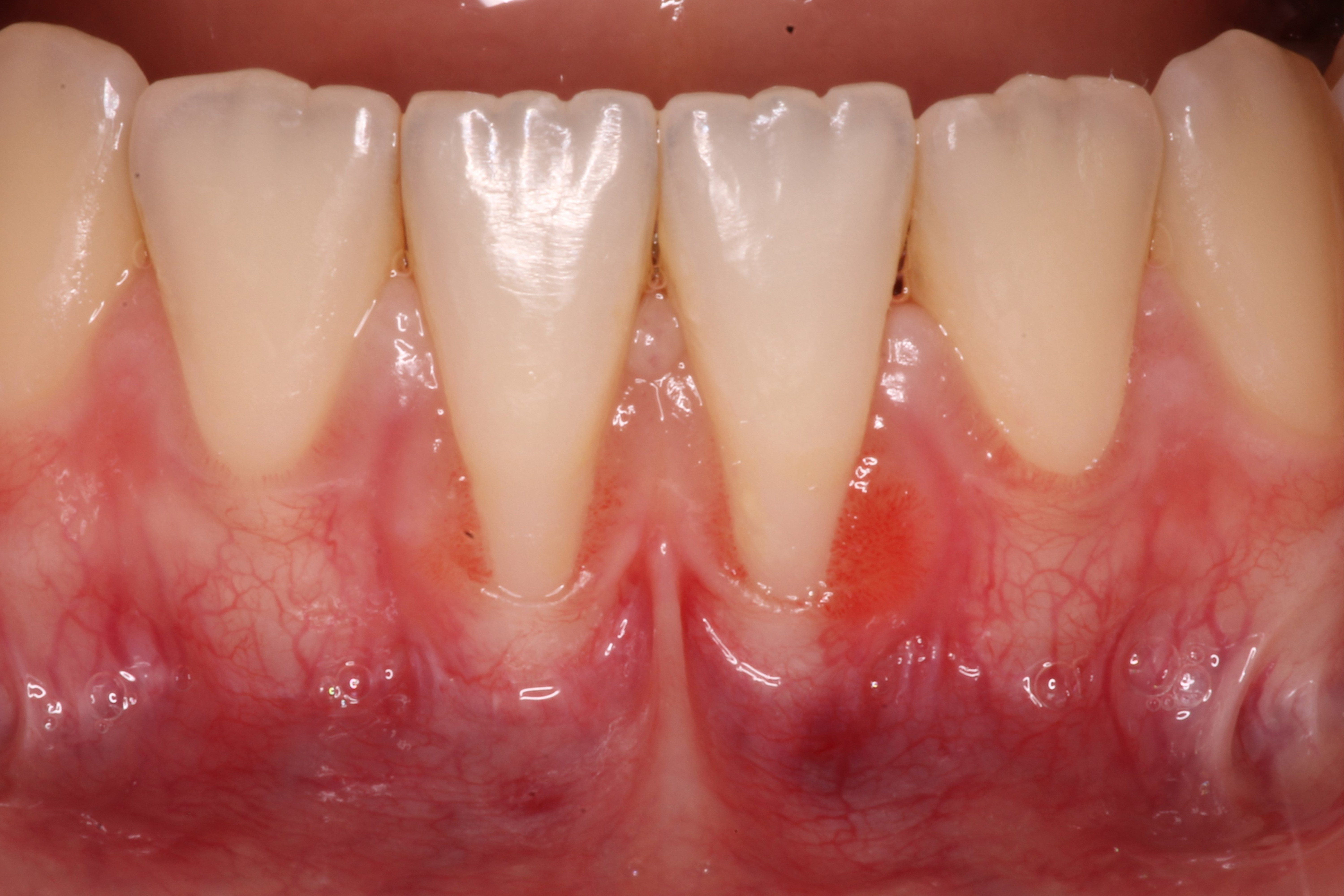
Photo Gallery
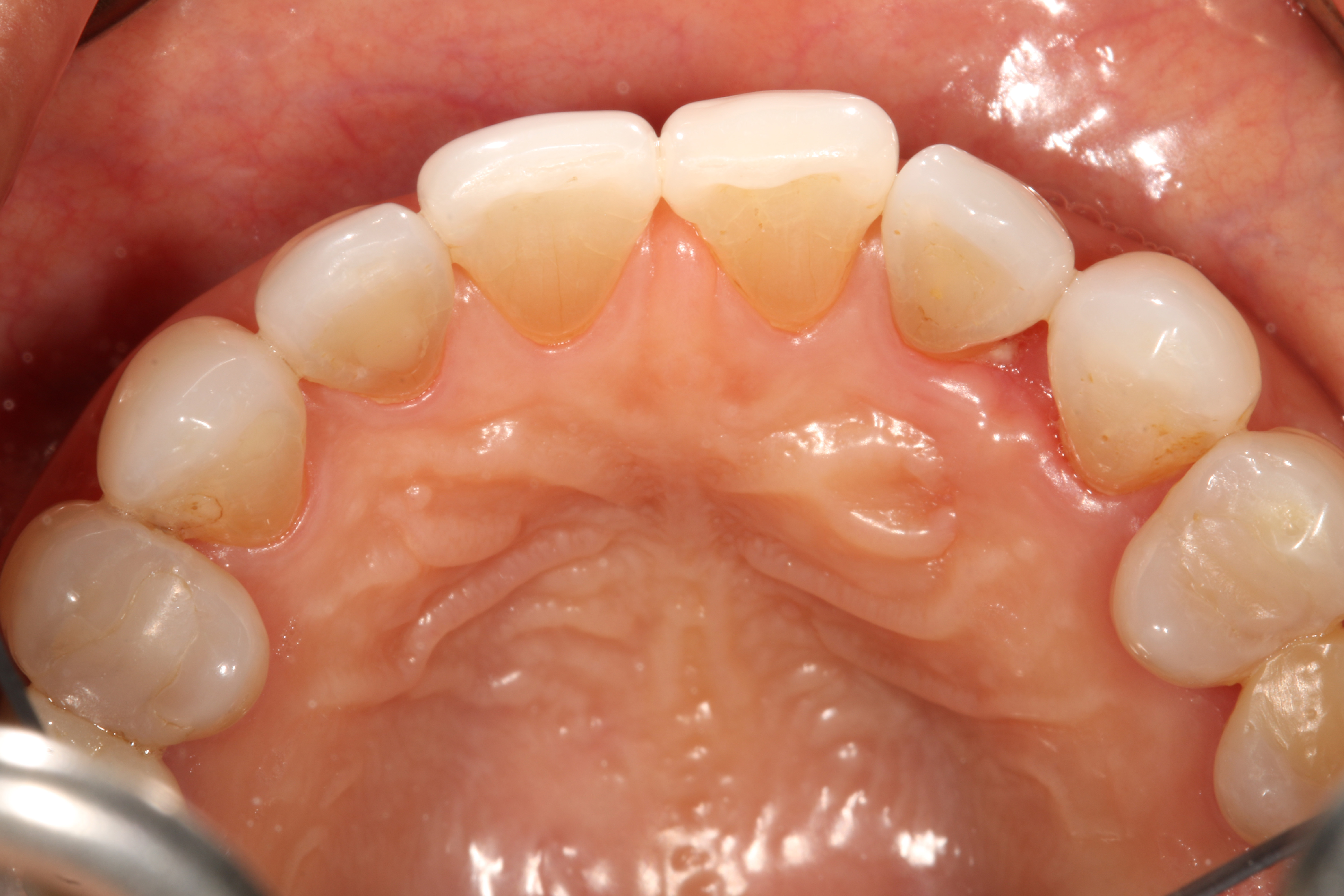
Free Gingival Graft
Before
After
Cyst Removal and Graft
Before
After
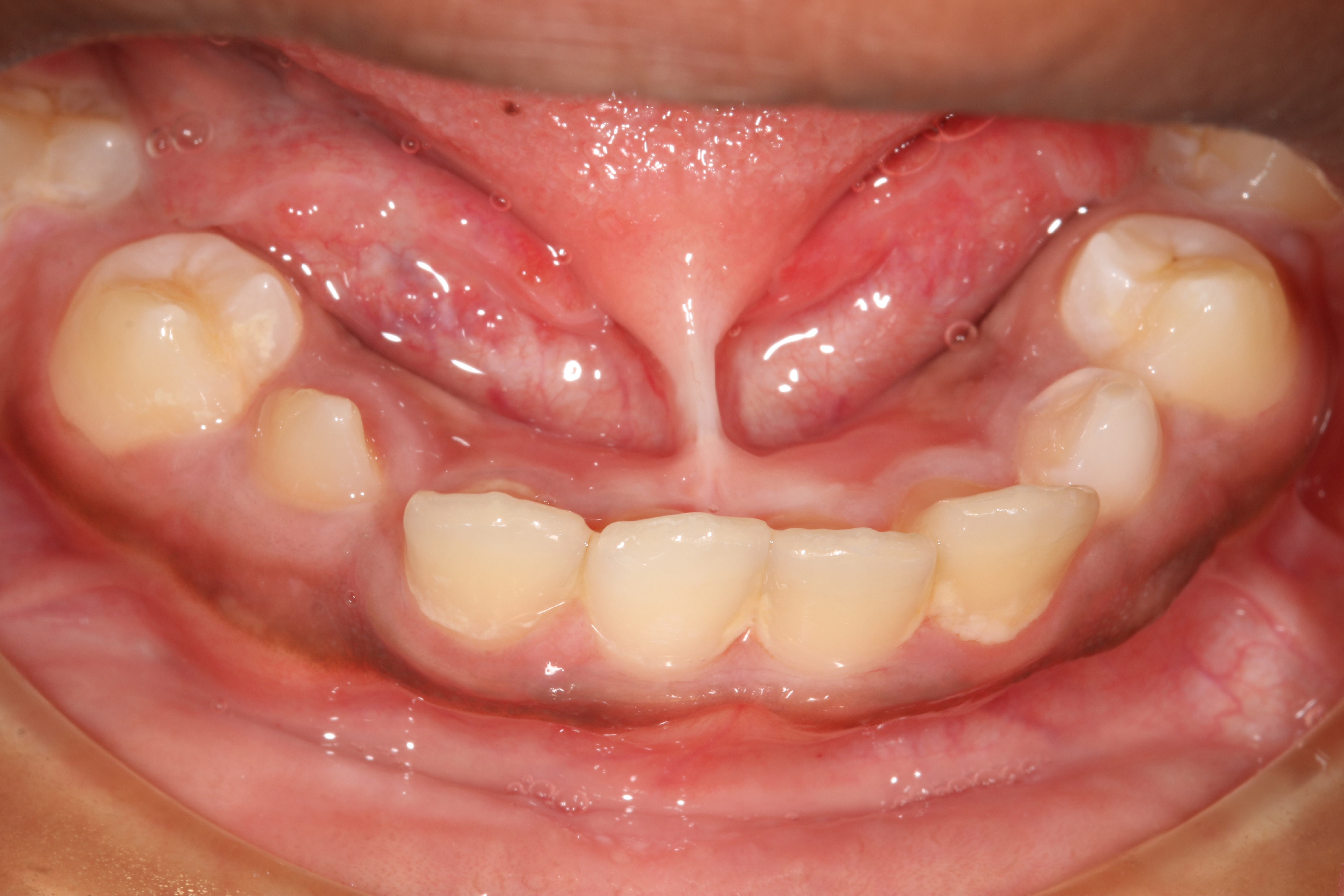
Lingual Laser Frenectomy
Before
After
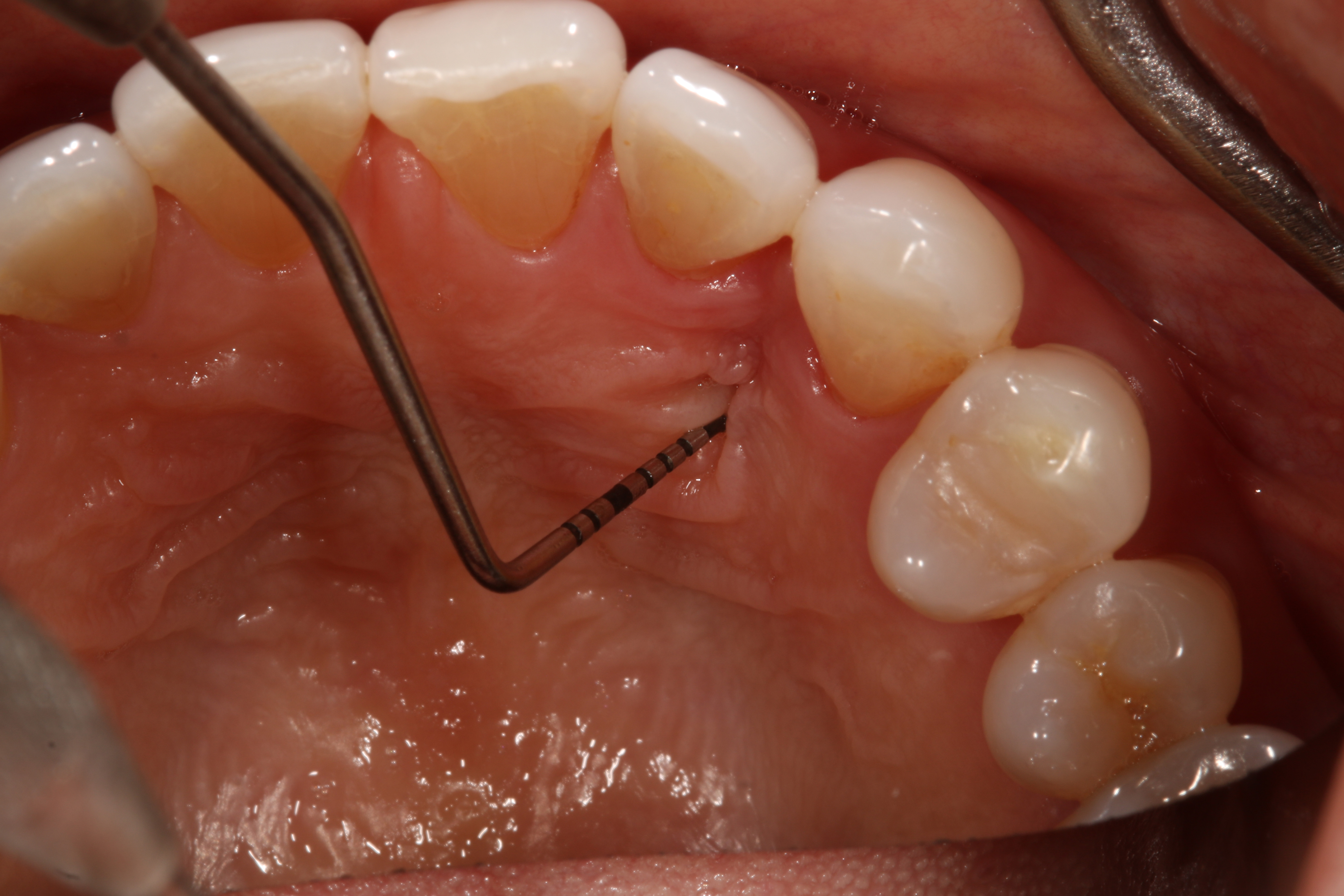
Frenectomy
Before
After
Laser Operculum Removal on the LR
Before
After
Frenectomy
Before
After
Free Gingival Graft
Before
After
Our Office
1216 US Highway One
Suite B
North Palm Beach
,
FL
33408
(561) 624-5307
Office Hours
Monday
8:00 am - 5:00 pm
Tuesday
8:00 am - 5:00 pm
Wednesday
8:00 am - 5:00 pm
Thursday
8:00 am - 5:00 pm
Friday
Closed
Saturday
Closed
Visit Us Online
Our Office
1216 US Highway One
Suite B
North Palm Beach
,
FL
33408
(561) 624-5307
Office Hours
Monday
8:00 am - 5:00 pm
Tuesday
8:00 am - 5:00 pm
Wednesday
8:00 am - 5:00 pm
Thursday
8:00 am - 5:00 pm
Friday
Closed
Saturday
Closed
Visit Us Online
Explore More
New Patients
Our Office
Testimonials
Jason S. Ehrenman, DMD
Request Appointment
Blog
Get in Touch
Phone:
(561) 624-5307
Email:
Contact Us
Address:
1216 US Highway One, Suite B, North Palm Beach, FL 33408
Hours of Operation
Monday
8:00 am - 5:00 pm
Tuesday
8:00 am - 5:00 pm
Wednesday
8:00 am - 5:00 pm
Thursday
8:00 am - 5:00 pm
Friday
Closed
Saturday
Closed
Our Office
1216 US Highway One
Suite B
North Palm Beach
,
FL
33408
(561) 624-5307
Office Hours
Monday
8:00 am - 5:00 pm
Tuesday
8:00 am - 5:00 pm
Wednesday
8:00 am - 5:00 pm
Thursday
8:00 am - 5:00 pm
Friday
Closed
Saturday
Closed
Visit Us Online
© 2026 Jason S. Ehrenman, D.M.D. M.S.D.. All Rights Reserved. |
Accessibility Policy
Dental Marketing
Periodontist Office in North Palm Beach | North Palm Beach Periodontist Office | Periodontist 33408